Scientist-led conferences at Harvard, Stanford and MIT
-

Wearable sensor network informs transient pacemaker
John Rogers and Northwestern colleagues have developed their second generation transient pacemaker, used post cardiac-surgery or for those awaiting permanent pacemakers. The new version, still implantable, wireless, and self dissolving, works with a network of soft wearable sensors, placed around the body. The sensors continuously monitor body temperature, oxygen levels, respiration, muscle tone, physical activity,…
-

MSK developed sensor detects molecular signature of cancer; compared to human scent
Mijin Kim and Daniel Heller of the Nanomedicine Lab at Memorial Sloan Kettering Cancer Center have developed an array of carbon nanotube sensors that can “sniff” cancer using AI. The human nose can detect a trillion different scents, through hundreds of olfactory receptors. The pattern which odor molecules bind to which receptors creates a kind…
-

Stent + soft sensor system continuously monitors hemodynamics
Georgia Tech‘s Woon-Hong Yeo and colleagues have developed a prototype smart stent and printed soft sensor system which can wirelessly monitor blood flow through the vascular system in real-time, without batteries or circuits. The small and thin stent can be placed anywhere inside the body to continuously measure arterial pressure, pulse, and flow. When the…
-

Microneedle wearable continuously monitors glucose, lactate, alcohol
UCSD Professor Joe Wang and colleagues have created a multiple biomarker monitor in the form of a painless microneedle patch, which Wang calls a “complete lab on the skin.” Glucose, lactate and alcohol levels are monitored simultaneously, in real time. Microneedles enable the direct sample of interstitial fluid, which provides a similar measure of biochemical…
-

Chest sensor detects worsening asthma, respiratory disease
The RESP Sensor from Strados labs received FDA clearance for early, remote detection of lung acoustic and ventilation pattern changes to predict worsening respiratory disease. Lung sounds associated with asthma, COPD, heart failure and infectious diseases including COVID-19 are detected. Frequency of wheezing, coughing, shortness of breath, and respiratory dynamics including rate and excursion are…
-

Fall sensor + Alexa Together can prolong independent senior living
Alexa Together has partnered with Vayyar, Sky Angel Care, and AltumView to detect falls. If a fall is detected, Alexa asks if help is needed, and then connects to an urgent response line, and alerts emergency contacts. Additional aging in place tools continue to be added to Alexa Together, including fall risk assessment, detection of…
-

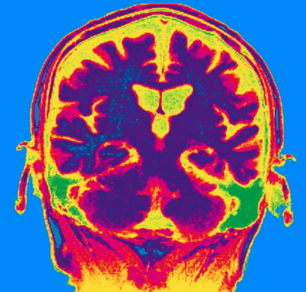
Univ. of Reading study links Alzheimer’s disease to blood brain barrier damage
The “Lipid Invasion Model” argues that lipids entering the brain due to blood brain barrier damage is the determining cause of the Alzheimer’s Disease. The presence of excess lipids in the brain cells of Alzheimer’s patients is an element of Alois Alzheimer’s 1906 research, but little has been published about this connection since. The hypothesis,…
-

Sensors monitor physiological variables post vaccine
Wearable sensors could improve clinical trials by enabling earlier identification of abnormal reactions. Currently, vaccine safety in clinical trials is primarily determined by participants’ subjective self-reporting. Dan Yamin, Yiftach Gepner, and Tel Aviv University colleagues used a chest patch sensor to monitor various health indicators in 160 participants, before and after receiving the Pfizer BioNTech…
-

Touch sensors enable speech and sound to be understood
Amir Amedi and Reichman University colleagues have released a study describing touch-based technology to help people understand speech and sound – and to detect their location in the future. The sensory substitution device can deliver speech simultaneously through audition and as fingertip vibrations which correspond to low frequencies extracted from the speech input. 40 non-native-English-speaking…
-

Prenatal MRI study suggests autism differences may begin in the womb
A small Boston Children’s Hospital study led by Assistant Professor Emi Takahashi and postdoc Alpen Ortug showed increased volume of the insular lobe as a potential strong prenatal MRI biomarker that could predict the emergence of ASD later in life. It revealed significant differences in brain structures at 25 weeks’ gestation between children who were…
-

Complete, gapless human genome sequence published
The T2T consortium have published the first complete, gapless sequence of a human genome, two decades after the Human Genome Project produced the first draft human genome sequence. Having a complete, gap-free sequence of the roughly 3 billion bases in our DNA is critical for understanding the full spectrum of human genomic variation and for…
-

Hopkins developed saliva sensor improves speed and accuracy of COVID detection
David Gracias and Ishan Barman at Johns Hopkins have developed a COVID 19 sensor which provides fast and accurate results using a drop of saliva placed on a device. No additional chemical modifications like molecular labeling or antibody functionalization are required, which could allow the sensor to be used in wearable devices. Current PCR tests…
Got any book recommendations?